以健康科普为目的,本文全文转载自Beautiful Cervix Project网站。
正文:
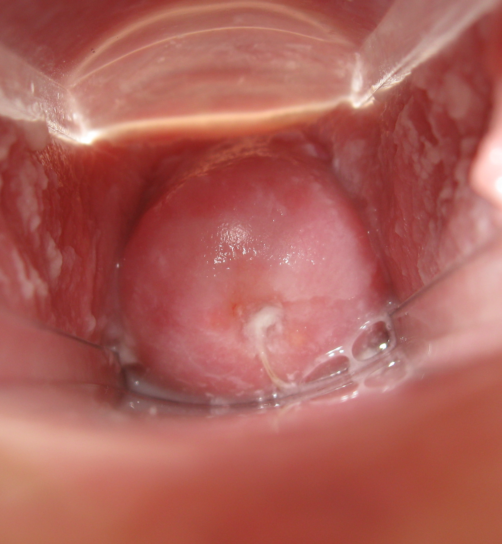
Age 25 – Entire Cycle with IUD
25 岁 – 使用宫内节育器的整个周期

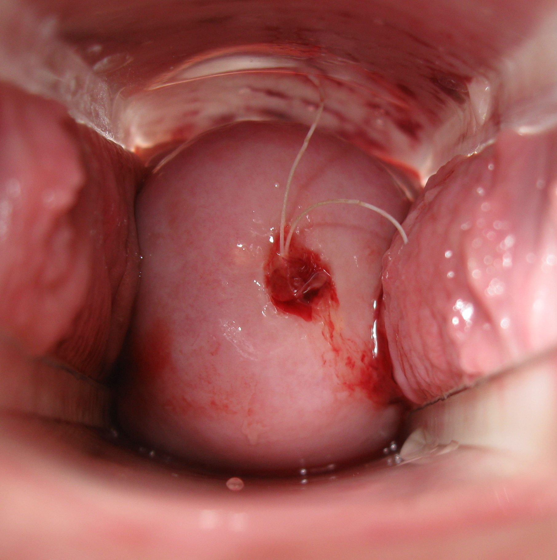
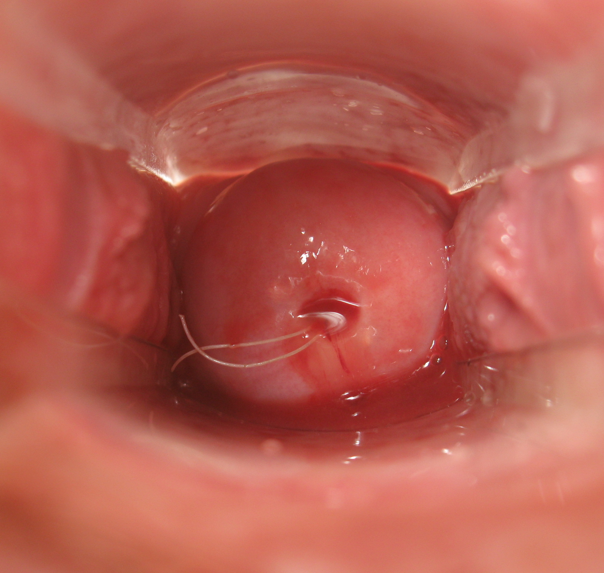
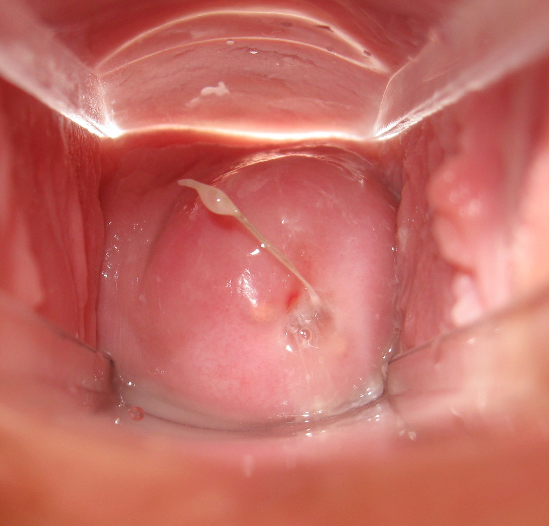
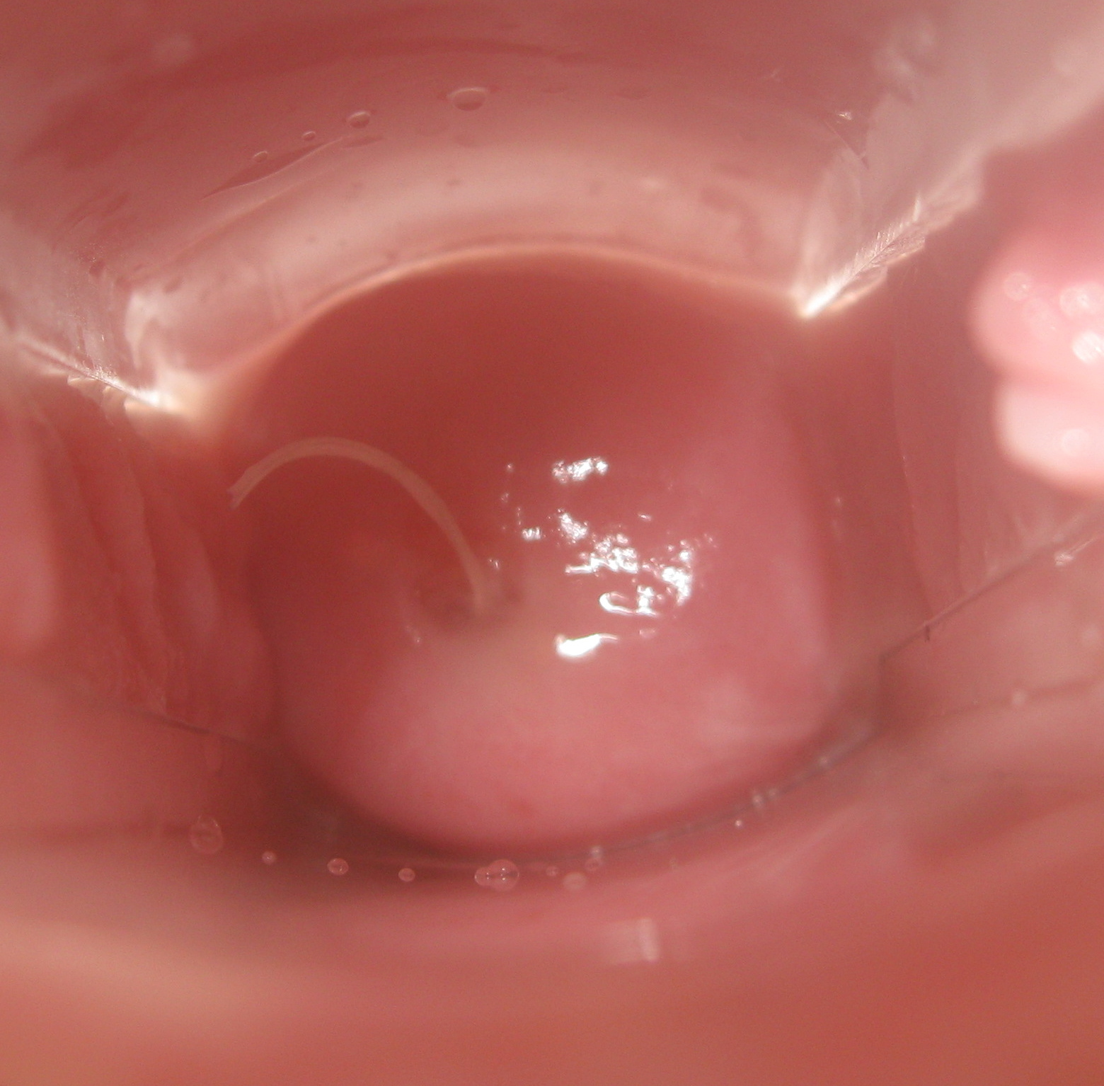
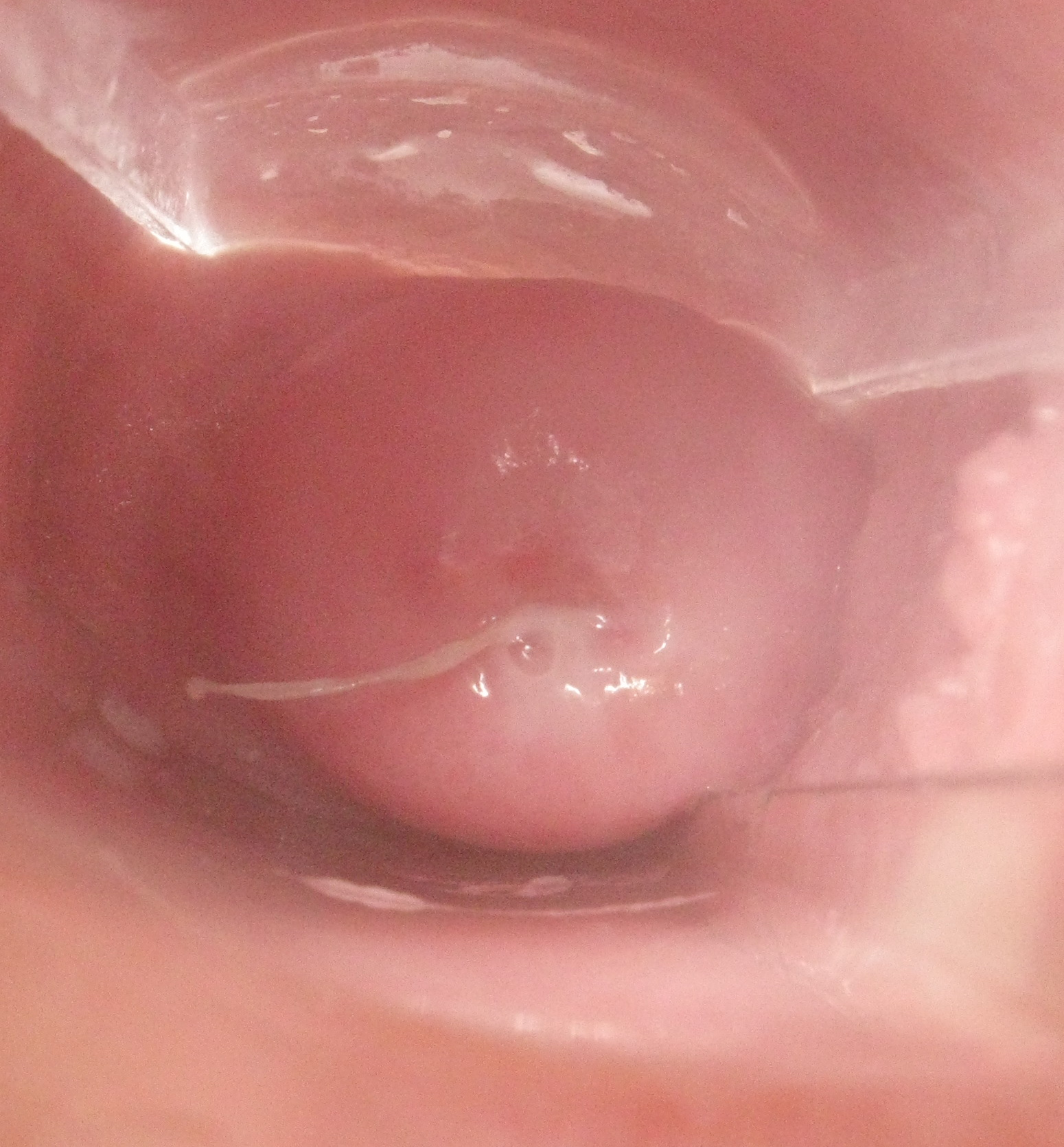
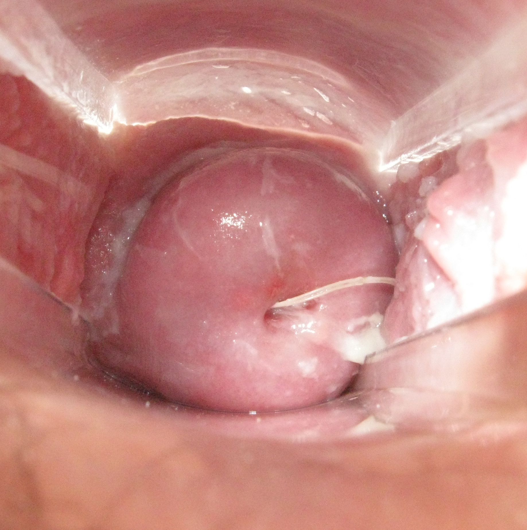
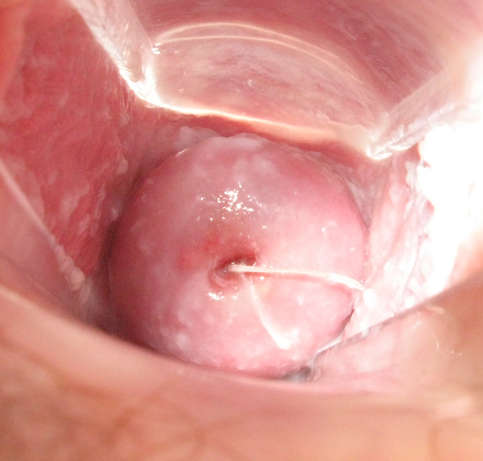
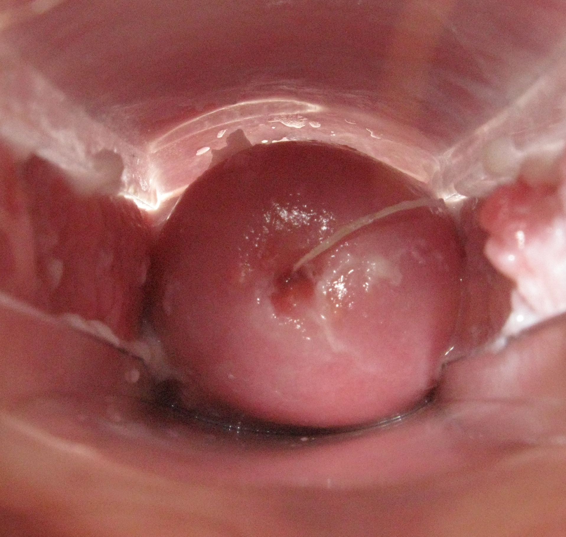
These cervical photos are from a 25 years old woman who has never given birth. She has a copper Paraguard IUD which was placed inside her uterus about a year ago. This is non-hormonal form of birth control, so she ovulates, which you can tell from the changes in her discharge. You can see the strings of the IUD protruding through the os in the photos. The IUD sometimes causes her occasional cramps or heavier bleeding.
这些宫颈照片来自一位从未生育过的 25 岁女性。 大约一年前,她在子宫内放置了铜质 Paraguard 宫内节育器。 这是一种非荷尔蒙避孕方式,因此她会排卵,这可以从她分泌物的变化看出来。 从照片中可以看到宫内节育器的线从子宫颈口突出。 宫内节育器有时会导致她偶尔抽筋或出血较多。
Her cycle has been somewhat erratic since she stopped birth control pills about a year ago. Before she went on birth control pills (sometime in her late teens) she was fairly regular with cycles about every 30 days or so. She has always had normal pap smears.
自从一年前停用避孕药后,她的月经周期就有些不稳定。 在服用避孕药之前(十几岁时),她的月经周期相当规律,大约每 30 天左右一次。她的子宫颈抹片检查一直都很正常。
You can see she has a Nabothian cyst to the left of her os, most visible on days 5 – 11. This is a benign clogged mucous gland, like a pimple.
您可以看到她的卵巢左侧有一个纳博氏囊肿,在第 5-11 天最为明显。 这是一种良性的粘液腺堵塞,就像丘疹一样。

Minor cramps; moderate bloodflow
第1天
轻微痉挛;血流量适中

Bleeding; no cramps; used a tampon today
第2天
出血;无痉挛;今天使用了卫生棉条

Used a tampon today
第3天
今天用了卫生棉条

In a good mood; moderate bleeding; used a maxi pad today
第4天
心情不错;适度出血;今天使用了 maxi 垫

Light flow; used a Diva cup; more tired today
第5天
流量小;使用了 Diva 杯;今天更累了

Spotting; feeling well; partner/photographer says cervix is deeper in her vagina today
第6天
点滴出血;感觉良好;伴侣/摄影师说今天子宫颈在阴道里更深了

Minimal spotting; tired
第7天
少量出血;疲倦

Whitish yellow scant discharge with no odor
第 8 天
白黄色稀薄分泌物,无异味

Feeling well; no discharge
第 9 天
感觉良好;无分泌物

Had sec 10 hours before this photo was taken
第 10 天
在拍摄这张照片前的 10 个小时进行了性交

Some milky discharge at the end of the day
第 11 天
一天结束时有一些乳白色分泌物

Slight amount of white discharge
第 12 天
少量白色分泌物

Milky cervical fluid
第 14 天
乳白色宫颈液

Some watery cervical fluid
第 15 天
一些水样宫颈液

Watery cervical fluid; cervix deeper in vagina
第 17 天
水样宫颈液;宫颈位于阴道深处

Egg-white cervical fluid; ovulation suspected; last day of fertile quality fluid this cycle
第 18 天
卵白色宫颈液;怀疑排卵;本周期最后一天可育优质液

Cervical fluid/luteal fluid is thick and white
第 20 天
宫颈液/黄体液粘稠且呈白色

第 21 天

第 22 天

Nabothian cyst visible to left of os
第 23 天
子宫口左侧可见纳博氏囊肿

第 24 天

第 25 天

Lueteal fluid tacky/dry
第 26 天
韧带液粘稠/干燥

A few minutes of very heavy pressure in vagina; some pain; then tingling for about 5 minutes
第 27 天
阴道有几分钟非常沉重的压迫感;有些疼痛;然后有大约 5 分钟的刺痛感

One minute in the AM feeling pressure and crampy; slightly fishy vaginal odor
第 28 天
上午一分钟,感到压迫和痉挛;阴道略有鱼腥味

One pang of crampy pain today
第 29 天
今天有一次痉挛性疼痛

Menses begins tomorrow; luteal phase is 11 days long
第 30 天
明天月经来潮;黄体期长达 11 天
